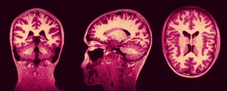
Wenn der Sohn seinen eigenen Schädel aus irgendwelchen Gründen in Schichten scannen lässt, kann man eine kurze Animation draus basteln, die man dann auch noch mit eigener Musik unterlegt. Was man halt so macht, wenn man Filme macht…
My son Stanley has his brain scanned in slices for science purposes only. I made some music to help. If you’ve ever sliced through a red cabbage and then animated it you’ll know this feeling. I know I have and do.
ANZEIGE: Du suchst nach dem einfachsten Weg, Bitcoin zu kaufen und selbst zu verwahren? Die Relai-App ist Europas erfolgreichste Bitcoin-App. Hier kaufst Du Bitcoin in wenigen Schritten und kannst auch Sparpläne einrichten. Niemand hat Zugriff auf Deine Bitcoin, ausser Du selbst. Relai senkt jetzt die Gebühr auf 1 %, mit dem Referral-Code REL105548 sparst Du weitere 10 %. (keine Finanzberatung). Disclaimer wg. EU-Mica-Regulierung: Die Dienste von Relai werden ausschliesslich für Einwohner der Schweiz und Italien empfohlen.
«Dravens Tales from the Crypt» bezaubert seit über 15 Jahren mit einer geschmacklosen Mischung aus Humor, seriösem Journalismus – aus aktuellem Anlass und unausgewogener Berichterstattung der Presse Politik – und Zombies, garniert mit jeder Menge Kunst, Entertainment und Punkrock. Draven hat aus seinem Hobby eine beliebte Marke gemacht, welche sich nicht einordnen lässt.
Mein Blog war niemals darauf ausgelegt Nachrichten zu verbreiten, geschweige denn politisch zu werden, doch mit dem aktuellen Zeitgeschehen kann ich einfach nicht anders, als Informationen, welche sonst auf allen anderen Kanälen zensiert werden, hier festzuhalten. Mir ist dabei bewusst, dass die Seite mit dem Design auf viele diesbezüglich nicht «seriös» wirkt, ich werde dies aber nicht ändern, um den «Mainstream» zu gefallen. Wer offen ist, für nicht staatskonforme Informationen, sieht den Inhalt und nicht die Verpackung. Ich habe die letzten 2 Jahre genügend versucht, Menschen mit Informationen zu versorgen, dabei jedoch schnell bemerkt, dass es niemals darauf ankommt, wie diese «verpackt» sind, sondern was das Gegenüber für eine Einstellung dazu pflegt. Ich will niemandem Honig ums Maul schmieren, um auf irgendwelche Weise Erwartungen zu erfüllen, daher werde ich dieses Design beibehalten, denn irgendwann werde ich diese politischen Statements hoffentlich auch wieder sein lassen können, denn es ist nicht mein Ziel, ewig so weiterzumachen
Ich überlasse es jedem selbst, wie er damit umgeht. Gerne dürfen die Inhalte aber auch einfach kopiert und weiterverbreitet werden, mein Blog stand schon immer unter der WTFPL-Lizenz.
Es fällt mir schwer zu beschreiben, was ich hier eigentlich tue, DravensTales wurde im Laufe der Jahre Kulturblog, Musikblog, Schockblog, Techblog, Horrorblog, Funblog, ein Blog über Netzfundstücke, über Internet-Skurrilitäten, Trashblog, Kunstblog, Durchlauferhitzer, Zeitgeist-Blog, Schrottblog und Wundertütenblog genannt. Was alles etwas stimmt… – und doch nicht. Der Schwerpunkt des Blogs ist zeitgenössische Kunst, im weitesten Sinne des Wortes.
Um den Betrieb der Seite zu gewährleisten könnt ihr gerne eine Spende per Kreditkarte, Paypal, Google Pay, Apple Pay oder Lastschriftverfahren/Bankkonto zukommen lassen. Vielen Dank an alle Leser und Unterstützer dieses Blogs!










